‹ › ×
    Dentista no Cambuí Campinas

    R. Carlos Gerin, 07 - Jardim Chapadão

    Campinas - SP

    (19) 3242-5288

     (19) 9 9799-4188

    Uma ótima opção de dentista e ortodontista em Campinas.

    Início
    • Sobre Nós
    • Ortodontia
      • Crianças
      • Adolescentes
      • Adultos
      • 60+
    • Clareamento Dental
    • Harmonização Orofacial-HOF
    • Aparelho Autoligado
    • Invisalign
    • Localização
    • Contato

     

    (19) 3242-5288 │ (19) 9 9799-4188

     Dentista Campinas Contato 

    Dentista no Cambuí Campinas

    R. Carlos Gerin, 07 - Jardim Chapadão

    Campinas - SP

     

    Início
    • Sobre Nós
    • Ortodontia
      • Crianças
      • Adolescentes
      • Adultos
      • 60+
    • Aparelho Autoligado
    • Invisalign
    • Localização
    • Contato

    Menu▲

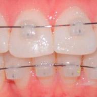
    Aparelho Autoligado Campinas

    Aparelho Autoligado

    Os Aparelhos Autoligados consistem em bráquetes que possuem um mecanismo que travam os arcos metálicos (fios ortodônticos) e, se diferenciam dos aparelhos convencionais, por não utilizarem ligaduras elásticas (também conhecidas por borrachinhas).

     

    Alguns dos benefícios do aparelho Autoligado em relação ao aparelho convencional são (I) a diminuição do atrito entre o fio e aparelho, sendo assim, os dentes se movimentam com mais liberdade, e (II) forças menores e mais constantes, gerando menos desconforto para o paciente.

     

    Outro benefício é proporcionar ao paciente um tratamento de excelência no menor tempo possível, em média, 6 a 8 meses mais rápido do que os tratamentos com aparelhos convencionais. São também mais fáceis de higienizar, ocasionando menor acúmulo de biofilme (placa bacteriana) e cálculo dentário (tártaro).

     

    O aparelho autoligado pode ser metálico ou estético (porcelana).

     

    Agende sua consulta.

    Dentista Campinas Contato(19) 9 9799-4188

                (19) 3242-5288

     

     

    Endereço:

    R. Carlos Gerin, 07 - Jardim Chapadão

    Campinas - SP, 13070-144

     

    Ótima localização.

    Próximo ao Balão do Castelo.

    Vagas para carro no local.

    Clique no ícone para entrar em contato por WhatsApp

    (Segunda à Sexta - Horário Comercial)

     

    Aparelho Autoligado em Campinas
    Aparelho Autoligado em Campinas

    R. Carlos Gerin, 07 - Jardim Chapadão

    Campinas - SP, 13070-144

     

    (19) 3242-5288

     Dentista Campinas Contato 

    (19) 9 9799-4188

     

    R. Carlos Gerin, 07 - Jardim Chapadão

    Campinas - SP, 13070-144

     

    (19) 3242-5288 │ Dentista Campinas Contato (19) 9 9799-4188

    Odontologia Mancini Todos os Direitos Reservados - 2025

    Site Desenvolvido pela Site Makers

    Odontologia Mancini Todos os Direitos Reservados - 2025

    Site Desenvolvido pela Site Makers